
40%的人患有毛孔角化症 你如何避免?
(圖:大腿上的毛孔角化症)
人人都想有健康膚質,當紅紅的小顆粒爬上身,該如何處理,還肌膚亮麗本色?你也有這樣的困擾嗎?
身體的皮膚上有一粒粒膚色或紅色的凸起,看起來實在是不甚美觀,摸起來又好像是粉刺,忍不住用手一擠
還果真擠出白白的粉刺……奇怪,粉刺怎麼會長到身上來呢?

(圖:毛孔角化症)
這其實是一個普遍的誤會。這些小顆粒並不是粉刺,而是毛孔角化症。
(圖:毛孔角化症,手臂是好發部位)
毛孔角化症是一種角質化異常的疾病。最常發生於兩上臂的外側,常被誤以為是粉刺、青春痘或是澡沒洗乾淨。
毛孔角化症好犯於手臂和腿部之伸側或外側,偶而可見於臀部、背部,嬰兒則常見於臉頰
此症乃由於毛囊皮脂腺管之開口處有角化現象,形成所謂的「角」,而硬化之後會導致毛孔閉塞
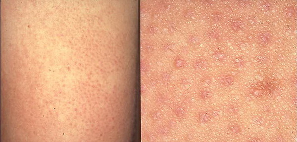
外觀有如針點般的小丘疹,散在性的分佈,顏色呈膚色、紅褐色或棕色,大部份的疹子均無關痛癢。

(圖:毛孔角化症,手臂是好發部位)
毛孔角化?這個名稱聽起來很專業,但它的盛行率卻相當普遍。在美國的調查顯示,約有40%的人患有毛孔角化症。其實許多人都有這種毛病卻不自知。你可以仔細檢查一下自己的皮膚,如果毛孔有一點一點的發紅,甚至摸起來會感覺一粒一粒的凸起,這就是毛孔角化症。再嚴重一點,毛孔的顏色會更深,呈現暗紅或褐色,顆粒也會更粗糙,看起來很像是雞皮疙瘩。病灶的分布區域最常見的依序是上臂(92%)、大腿(59%)、臀部(30%),臉頰也不少見,少數患者會全身分佈。疹子的數目可以從數十顆至數百顆,這些像雞皮疙瘩的疹子,外觀上也非常明顯,常常造成患者不敢穿短袖衣服的困擾。
一般的毛孔角化症,既不痛也不癢,更不會產生病變,所以許多人即使有這個毛病,也不會太過在意。但對愛美的女性而言,可就不得了。因為它好發於青春期至40歲的女性,之後會隨著年齡增長而逐漸消退,但好發時期也正是最在意外表的階段。有些患者因為覺得難看,所以即使是大熱天,也穿著長袖長褲,以遮掩不必要的尷尬。更嚴重的,誤以為一粒粒的凸起是粉刺或痘痘,興起“除之而後快”的念頭,用手指擠壓或摳抓,造成更嚴重的發炎及色素沉澱。
冬天更嚴重
毛孔角化症是一種先天基因導致的體質。皮膚科醫師表示,具有這種體質的人,毛囊周圍的角質會增厚,導致毛囊口被過厚的角質堵塞,造成一粒粒的小凸起。一些具有異位性皮膚炎、魚鱗癬的患者,通常也患有毛孔角化症。

(圖:毛孔角化症,近看)
冬天時的症狀會更為嚴重,因為和毛孔角化與角質變厚有關,所以當氣候較乾燥寒冷時,角質增厚的情形會加重,也就使症狀變得更加明顯。
除了先天體質因素外,也有報告指出與維生素A缺乏有關。缺乏維生素A會引起全身性的乾燥,而乾燥就加劇了毛孔角化的症狀。
一般而言,毛孔角化除了外觀不佳外,並無太大的不便。“但最怕患者用手去抓,”皮膚科醫師無奈地表示。因為一旦用手去摳,才是可怕惡夢的開始。當患者摳抓時,會使毛孔周圍的組織水腫,如此一來,毛孔開口變得更小,更容易堵塞,就會產生粉刺、毛囊炎的現象,如果抓傷,也會形成疤痕及色素沉澱,屆時要治療或改善,就更加不易與麻煩。
難痊癒,只能改善
由於毛孔角化是與角質有關的疾病,所以一般的治療都是以去角質藥膏為首選,像是A酸、果酸、水楊酸及尿素等。 A酸的作用較為深入,可直接影響到細胞核,去除不正常的角化,長期使用將可達到一定的治療效果。另外像尿素,則具有保水的功能,對於去除角質,也有一定的功效,是在臨床上常被使用的外用藥。
(圖:手臂毛孔角化症,摸起來像紅色的雞皮疙瘩)
醫師認為,由門診患者的反應看來,高濃度如3.5%的水楊酸,有相當好的療效。水楊酸本身為脂溶性,剛好可以沿著毛囊開口,順著皮膚油脂到達角化部位,進而溶解角質,改善症狀。此外,水楊酸價格不高,經濟實惠,作用又較為溫和,可用較高的濃度來製劑使用,達到良好的改善。不過,很難說哪一種藥的效果最好,因為不同的人,對於各種藥的接受度不同,有些人覺得A酸好,有些人則認為水楊酸有效,藥的療效會因人而異。
患者只要配合醫師的指示耐心擦藥,都可以獲得一定程度的改善。不過,醫師表示,角質的生成有一定的週期,通常是一個月。所以想要擦幾天藥,就得到晶瑩剔透的皮膚,患者可要大失所望了!如果有迫切的需求,像是結婚、參加宴會,要展露漂亮肌膚的場合,就需要祭出更重的法寶了!
皮膚科醫師可用果酸換膚、鑽石微雕等方式去除角質層,讓肌膚呈現出美好光滑的外觀,但這仍是“治標不治本”,因為先天的基因無法改變,所以再次新生的角質,仍會有毛孔角化的現象。通常一個月後,又逐漸恢復到原來的樣貌。這是患者在治療前,一定要有的認知。
日常生活保養之道
醫師建議,洗完澡時皮膚含水度高,角質也變得軟化,這時塗抹藥膏,會有較好的效果。但若皮膚感到太過刺激,則建議30分鐘後再擦藥。除了擦藥外,自己也可以做一些保濕的動作。例如塗抹一些保濕功能的保養品,減少皮膚乾燥的情形,皆有一定的幫助。

有些患者會自行使用去角質沐浴用品,像是磨砂膏、去角質刷、絲瓜布等等。醫師表示,適度的去角質有一定的幫助,但過頭就會造成皮膚的傷害。過度的摩擦不只會使皮膚受傷,還會使角質層變得更厚。因此,去角質的動作一個月一至兩次就已足夠。坊間有一些沐浴乳具有去角質的效果,雖可每天使用,但千萬不要用力摳抓,以免造成更不堪的結果。
有些女性患者會感到無奈,因為毛孔角化症是先天體質,很難痊癒,只能改善。患者要先做好心理建設,美麗的成果是需要時間與耐心,只要按照醫師指示長期擦藥,一定會有良好的改善。
如何預防毛孔角化症
目前對毛孔角化症並沒有預防的方法。
塗抹一些下述的治療用品可以改善外觀。嚴格說起來,治療並非絕對必要,但是,要讓人不在意這種病灶,的確不是一件容易的事。
毛孔角化症初始年齡大多為十五六歲,要完全消失要到四五十歲。在這段時間是沒有一勞永逸根除的方法。但是如果為了美觀上的因素想去除,只要每日持續像塗抹保養品般的塗抹有效藥物,是可以一直預防病灶的產生而維持美美的肌膚的喔。
毛囊角化症的治療
通常症狀輕微者平時就必須擦含果酸或去角質成份的保濕乳液;嚴重者,會給予含尿素或維他命A酸的霜劑或乳膏來加以治療。

(完美的肌膚觸感,平時的保養很重要,讓我們一起遠離毛孔角化症的困擾)
由於深受其擾的患者不少,在此提供幾點建議如下:
1. 洗澡時患部應塗抹含有去角質成份的肥皂或沐浴乳,並輕輕地用沐浴刷刷洗,以清除毛孔的角栓。
2. 症狀輕微者,沐浴後應儘快擦上含有果酸,或去角質成份的潤膚霜或保濕乳液,原則上,每天抹個六、七次不為過。不過選擇時要特別注意標示。
3. 症狀較明顯者,可在沐浴後,使用含尿素加上水楊酸的乳霜,塗擦患部,以絲瓜布每天刷抹五秒,若沒有刺激感,可每週增加五秒,至多每天每次不超過二十秒。待丘疹不明顯時,刷抹次數可降為每週一至兩次,並且改用無水楊酸之尿素軟膏即可。
4. 儘量不要隨意擠壓這些丘疹,以免不慎引發毛孔發炎感染。
5. 若患處未見改善或產生癢、痛等毛囊發炎的症狀時,則應尋求皮膚科醫師加以治療。對於角化病灶的治療,可以使用水楊酸藥膏,或是含有尿素或是乳酸的藥膏來治療,或是塗抹果酸來幫助去角質,或是使用外用的A酸藥膏來治療。但是要注意的是,這些治療方法通常都需要數個月的時間,才能有較明顯的改善,所以耐心的治療是非常重要的。
<< 免責聲明:療程效果因人而異,不保證結果絕對相同 >>